USHIO

光技術情報誌「ライトエッジ」No.32

大学研究室を訪ねて Campus Lab⑳

細胞組織の機能低下の原因を解明し、
老化・発病防止の道を拓く「ミトコ ンドリア研究」

国立大学法人九州大学大学院医学研究院臨床検査医学分野教授
九州大学病院検査部 部長
康 東天 先生

アジアに開かれた「知」の拠点 ――九州大学

九州大学は、11の学部をはじめ、17の学府と16の研究院を置いた大学院、特色ある付置研究所やセンターを数多く有し、西日本を代表する基幹総合大学である。

その前身は、1903年に京都帝国大学の分科大学として福岡に開設された、附属医院をもつ福岡医科大学である。1911年、この福岡医科大学と新設の工科大学からなる九州帝国大学が創設され、1919年に医科大学は医学部に、工科大学は工学部となり、同時に農学部が開設。その後も法文学部や理学部の新設、高等学校や専門学校の合併を行い、1949年に新制の国立九州大学となる。

九州大学はその後も時代の要請に呼応し、学部の改組・新設・増設、他大学との統合などを推進し、“アジアに開かれた「知」の世界的拠点”と呼ぶにふさわしい規模と陣容を備え、広く社会に貢献し続けている。

”これから“に大きな期待 ―― 創立100年の実績を基盤に

九州大学は、その「教育憲章」や「学術憲章」に示されているように、教育においては、世界の人々から支持される高等教育を推進し、世界において指導的な役割を果たし活躍する人材を輩出し、世界の発展に貢献することを目指している。また学術研究においては、人類が長きにわたって遂行してきた真理の探究と、そこに結実した人間的叡智を尊び、これを将来に伝えていくとともに新しい展望を開き、世界に誇り得る先進的な知的成果を生み出していくことを使命としている。

折しも2011年には、総合大学として創立100周年を迎える。九州大学では、今日まで脈々と培われてきた諸々の学問における伝統を基盤として、「知」の新世紀を拓くための新たな飛躍を目指している。その改革の柱が「21世紀プログラム」である。アドミッションポリシーを掲げて、プログラムの理念(21世紀を担う人材、専門性の高いゼネラリスト、創造を引き出す知識と基礎的な知識、外に開かれた知識)と求める学生像を明示し、これらの実現に向けて、全学をあげて取り組んでいる。

140余年にわたる社会貢献
九州大学病院

九州大学病院の源流をたどれば、福岡医科大学附属医院が開設された1903年より遥か昔の、1867年に行き着く。黒田藩の藩校として設置された西洋医学の医育機関「賛生館」である。142年もの伝統を受け継ぐ九州大学病院は、日本における近代医学の発祥の地と言われ、診療、教育、研究の中心的役割を果たしてきている。

現在では、26の診療科医科部門をはじめ、12の診療科歯科部門、24の中央診療施設、13の院内措置施設、12の別府先進医療センターを擁し、西日本地域に留まらず、広くアジアにまで開かれた中核的医療機関として、世界に貢献している。

基本理念

患者さんに満足され、医療人も満足する医療の提供ができる病院を目指します。

実行目標

  • 1. 地域医療との連携及び地域医療の貢献の推進
  • 2. プライマリ・ケア診療の充実
  • 3. 全人的医療が可能な医療人の養成
  • 4. 専門医療の高度化を目指した医学研究の推進
  • 5. 国際化の推進

ミレスの神の手(下の写真の右端)高さ8mの白い角塔の上にある3.8mのブロンズ彫刻は20世紀最大の彫刻家カール・ミレス(Carl Milles 1875 - 1955 Sweden-USA)の晩年の傑作。天 空を仰ぎ見る青年の裸像が、力強く、しかしやさしさと慈愛を感じさせる左手に支えられている。九州大学医学部創立75周年記念で建てられた。

九州大学病院の新病院棟
1998年から2006年にかけて完成。手前が南棟、奥が北棟。南棟2階に検査部がある。

精密 ・ 正確 ・ 迅速を基本に患者さんケ アを向上
九州大学病院 検査部

限られた資源と環境の中で、検査部スタッフの創造性を担保することを、 どのようにシステムとして組み立てるか。

九州大学病院検査部は1957年に始まり、52年の歴史を持つ。院内でも最も早期に設立された中央診療施設の1つであり、その中央化は、国立大学病院の中では、東京大学、大阪大学に次いで3番目となる。検査部の設備と検査項目は、開設以来次々と拡充され、現在では、検体検査をはじめ、細菌検査、輸血検査など、6つの検査室で、入院・外来を問わず、24時間365日体制で検査データを提供し、病院の大半の検査をカバーしている。また、2006年に臨床検査室の国際規格「ISO15189」を取得。これによって、システムとして機能する組織マネジメント、精密で高精度の検査データの提供能力が、国際的に認められた。

「新しい設備や装置を入れて、この検査もあの検査もできると誇っても意味がありません。限られた資源と環境の中で、検査部スタッフの創造性を担保することを、どのようにシステムとして組み立てるか。それが九州大学病院検査部のみならず、臨床検査医学全体の発展のために、今、私に求められている課題です」と、検査部長の康 東天(かん どんちょん)さんは明言する。

康 東天(かん どんちょん)さん
2006年に臨床検査医学分野教授、2007年に検査部長に就任。検査部長として「診療」を担う一方、臨床検査医学分野教授として、「教育」や「研究」にも精力的に取り組んでいる。

九州大学病院検査部の皆さん(写真右)
検査室や分析室などがある広いフロアで大勢のスタッフが忙しく仕事をされている中、4人の皆さんに集まっていただいた。(左より栢森裕三臨床検査技師長、小野美由紀臨床検査技師、草場恵子臨床検査技師、堀田多恵子主任臨床検査技師)

検査ラインと分析装置
2002年にオートメーション化された。

九州大学病院検査部が日本に誇る「24時間ビデオ脳波システム」
「24時間継続して患者の脳波と同時に患者の状況をビデオでモニターするシステムです」と検査技師長の栢森裕三さんが説明をしてくれた。

あらゆる生命科学研究を包容する
九州大学大学院 医学研究院 臨床検査医学研究

九州大学医学部の医学教育研究組織は、大きく分けて「医学部」と「大学院」があり、「医学部」は学部生の教育を目的とし、「大学院」は、研究を目的とした「医学研究院」と、院生の教育を目的とした「医学系学府」で構成されている。

「医学研究院」は5つの部門・12の講座・58の分野で編成され、康教授の研究室は、基礎医学部門・病態制御学講座・臨床検査医学分野にあり、生命科学に興味と意欲を持つ10名あまりの大学院生、学術研究員がさまざまな生命科学研究に積極的に取り組んでいる。

研究テーマに挑む康教授(後列右から3人目)と研究生の皆さん

主な研究テーマ

  • • ヒトミトコンドリアDNAの維持機構の解析
  • • ヒト赤血球膜蛋白質、ミトコンドリア蛋白質の精製と結晶構造解析
  • • ヒト血清蛋白質の質量分析装置を用いた網羅的解析
  • • PCR法を応用した変異DNAの高感度検出法の開発
  • • フローサイトメトリーFACSを用いた細胞内活性酸素測定系の構築

ミト コ ン ドリ アDNA の活性酸素による損傷、 維持機構の分子生物学的解明
康研究室の主要テー マ

臨床検査医学研究はあらゆる生命科学研究を包容している

大学院医学研究院の臨床検査医学分野は、検査の実践の場である大学病院検査部と一体成しており、“検査に創造性” をモットーに、新しい検査法の開発にも注力している。特に現在は、遺伝子検査とLC/MSを用いたプロテオミクス的検査に関して、その領域に関連した研究も融合させた形で、検査法の開発に取り組んでいる。

「臨床検査医学の定義は、“検査を通じて病態を解析する学問”とされています。しかし、病態の解析はすべてが検査であり得るし、病態の解析は、結局は生命現象の解析と同意語のようなものです。ですから私たちの研究室では“臨床検査医学研究 はあらゆる生命科学研究を包容している”と考え、“ミトコンドリアゲノムの活性酸素による損傷”や“ミトコンドリアゲノムを維持する基本的分子機構の解明”などを主な研究テーマとしています」(康教授)

X線蛋白質結晶構造解析のために「全自動HPLCシステム」を
用いて純度の高い蛋白質を精製しているところ。

血液やミトコンドリアの蛋白質を「LC-MS/MSシステム」を
用いて同定しているところ。

ミトコンドリアでの活性酸素発生機構の研究のために、
培養細胞よりミトコンドリアを抽出しているところ。

生命が生命たる根本要素を司るミトコンドリア

私たちの体は約60兆もの細胞からなり、これらの細胞内には、遺伝子(DNA)を収納する核といろいろな小器官(オルガネラ)が存在している。その小器官の1つがミトコンドリアである。ミトコンドリアは、10億年以上前に原始真核細胞に寄生した、もとは独立した生物であったと考えられている。その名残として、ミトコンドリアは、核とは独立したDNAを現在も保持している。その意味においてミトコンドリアは、数ある細胞内小器官の中で特別な位置を占め、現在では、真核生物において、生と死と増殖発達という、生命が生命たる根本要素を司っている。

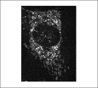
線状に薄く染色されているミトコンドリア上に粒子状に明るく見えるのがミトコンドリアDNA。

ミトコンドリアの大敵は活性酸素

ミトコンドリアは、血液で運ばれてきた酸素を取り込み、細胞に必要なエネルギーを生み出すATP(アデノシン三リン酸)を作る。ミトコンドリア内でATPを産生する蛋白質の遺伝子をコードしているのがミトコンドリアDNAである。このDNAが傷つき、機能しなくなると、ATPの産生に支障が起き、細胞は適正にATP合成ができなくなり、エネルギー不足となってさまざまな機能障害を起こし、極端な場合は死に至ると言われている。

ミトコンドリアのDNAが傷つく原因として、ミトコンドリア自体の老化のほかに、ATP産生の際に発生する活性酸素の影響が大きいと指摘されている。

老化を引き起こすミトコンドリアDNAの損傷

“活性酸素”は最近よく耳にする言葉である。それがいったいどこで作られているか、正しく知っている人は意外と少ない。実はその大半は、普通の細胞が普通の状態のとき、ATP合成時に、副産物として生じる。

活性酸素は強い化学反応性を持っていることから、そばにあるミトコンドリアのDNAを強く傷つけてしまう。

「活性酸素から障害を受ける危険度は、核にあるDNAよりも100倍も強い」(康教授)と言われるように、ミトコンドリアのDNAは核のDNAより100倍以上も突然変異率が高い。

「それによって起こる機能障害が年とともに蓄積し、歳をとると起こる組織の機能低下(老化)の原因の1つと考えられます」と康教授は説明する。

臓器を機能障害から守るTFAMの働きを世界に先駆けて発見

ところが康教授らは、その障害から守る働きも、実はミトコンドリア自体が持っていることを、世界に先駆けて見出した。

「それはTFAM(ミトコンドリア転写因子)という蛋白質です。遺伝子操作でTFAMを過剰に発現させたマウスでは、心筋梗塞を起こしても、多くのマウスが心不全に至らずに成育しました。心臓だけでなく、加齢に伴って多くの臓器 で機能低下が起こる原因として、ミトコンドリアDNAの異常が最近注目されています。パーキンソン病やアルツハイマー病、糖尿病、がんなどとの関わりも指摘されて来ています」と康教授は語る。

TFAMはミトコンドリア内でミトコンドリアDNAと結合して存在するため、粒子状に染色される。

人間のTFAMを発現しているトランスジェニック(TG)マウスを作製(上)。このマウスは人間のTFAMを特に心臓で強く発現している(下図の左端)

実験的に胸を開け、心臓の動脈を縛って心筋梗塞を起こすと、心臓は拡張(右)し、心不全に陥る。(Sham手術とは、胸だけを開けて動脈を縛らなかったもの)

心エコーで心臓の直径を測定。
TFAMを発現しているマウスでは、心筋梗塞後も心臓の拡張が起こっていないことがわかる(右側の2つを比較)。

TFAMを発現しているマウスでは心不全が起こらないため、心筋梗塞後4週間たっても死亡しない。

年をとったマウスも、TFAMを発現していると記憶能力が保たれている(右、24月齢つまり2歳での比較。マウスの寿命は3年から4年)。

年をとったマウスも、TFAMを発現していると運動能力が保たれている(右、24月齢での比較)。

第4のピークを迎えたミトコンドリアの研究

ミトコンドリアの研究は“第4のピークを迎えている”と言われている。まず初めはATPに関する研究、次いで独自のDNAの発見、そしてアポトーシス(細胞の自然死)研究に移り、現在はミトコンドリアDNAと老化や生活習慣病との関連の研究である。

もし、ミトコンドリアDNAの酸化損傷や変異が老化の原因の1つなら、ミトコンドリアDNAを守る方法を開発すれば、老化を遅らせることができるかもしれない。これらのことから、ミトコンドリアDNAを正しく守ることは、細胞にとってまさに死活問題であり、人間の固体レベルでみても、健康に生きていくための必須の重要課題と言える。

「実際、先天的なミトコンドリアDNAの異常に起因する疾患は、ミトコンドリア病という難病中の難病です。日本では、10万人から20万人に1人程度しか報告されていませんが、海外での研究の結果では8千人に1人程度とされていて、おそらく日本も同程度ではないかというのが専門家の見方です」(康教授)。

カウントされないのは、診断が見落とされ、原因不明の病気として扱われているためと予想されている。

微量血液分析システム「バナリストシリーズ」 の性能を評価

性能評価を九州大学病院検査部が受け、およそ3年をかけて精密で精度の高い評価結果を出す。

これまで、POCT機器を含む緊急検査機器や中小病院向けの検査機器として、簡便・迅速・給排水不要という点から、ドライケミストリーが広く使用されていた。しかし、ドライケミストリーは、試薬が特殊な構造・原理をしたものが多く、試料のマトリックスの影響を受けるという問題が指摘されていた。

ウシオ電機(株)とローム(株)が共同で開発し、2008年に商品化した微量血液分析システム(商品名:バナリストエース)は、マイクロ流体チップを用いた方式で、簡便・迅速・給排水不要という利点を持ちながら、現行の液状試薬を利用した透過光・吸光度測定であることから、標準化に適合ができ、マトリックスの影響を受けないという大きなメリットを実現した。また、近い将来販売が予定されているシステム(商品名:バナリストM)では、全血・血漿・血清と多種な試料を用い、25µLで最大5項目の同時測定も可能である。

このバナリストシリーズの性能評価を九州大学病院検査部が受け、およそ3年をかけて精密で精度の高い評価結果を出し、ウシオとロームにとって、商品化への大きな足がかりとなった。

バナリストシリーズの評価の方法について、康教授(右)から指導を受ける弊社開発責任者の奥村。

バナリストエースを評価する栢森臨床検査技師長、康教授、草場臨床検査技師(左から)。

九州大学病院 検査部メンバー
検査部長 康 東天、 臨床検査技師長 栢森 裕三、 主任臨床検査技師 堀田 多恵子、 臨床検査技師 小野 美由紀、臨床検査技師 草場 恵子

プロフィール

康 東天 (Dongchon Kang)
九州大学大学院
医学研究院 臨床検査医学分野 教授
九州大学病院 検査部 部長
医学博士 (九州大学)

1982年 九州大学医学部卒業
1988年 九州大学大学院医学研究科(生化学第2講座)修了
1989年 福岡大学医学部助手(臨床検査医学講座)
1992年 ドイツ マックスプランク研究所客員研究員
1993年 九州大学医学部助手(生化学第2講座)
1996年 九州大学医学部助教授(臨床検査医学講座)
2006年 九州大学大学院医学研究院教授(臨床検査医学分野)

■公職
日本ミトコンドリア学会 理事
日本臨床検査専門医会 幹事
日本臨床化学会 九州支部長
日本臨床検査医学会 評議員
■所属学会
日本臨床検査医学会
日本臨床化学会
日本ミトコンドリア学会
日本生化学会
日本分子生物学会
住所 : 〒812-8582 福岡市東区馬出3-1-1
電話 : 092-642-5748 FAX:092-642-5772
e-mail : kang@mailserver.med.kyushu-u.ac.jp
URL : http://www.med.kyushu-u.ac.jp/cclm/
Copyright © USHIO INC. All Rights Reserved.